- AdventHealth
Walter R. Morgan, MD
Stroke Medical Director
Comprehensive Stroke Center at AdventHealth Celebration
The outcomes of a program’s most complex cases often define that program’s quality. Given the recent addition of neurosurgery, neuro-intervention, and neurocritical care to AdventHealth Celebration, it was only a matter of time before our hospital would encounter such a challenge.
A 39-year-old gentleman with no significant past medical history arrived at our Palm Parkway stand-alone Emergency Department with a complaint of dizziness that began while working out at the gym. The patient was evaluated by the acute stroke neurologist and subsequently diagnosed with a cerebellar stroke. The patient received thrombolysis with tPA. Advanced imaging with CT angiogram revealed a vertebral artery dissection but no occlusive thrombus of the basilar artery. The patient was then transferred to the recently expanded Neurointensive Care Unit (Neuro ICU) at AdventHealth Celebration.
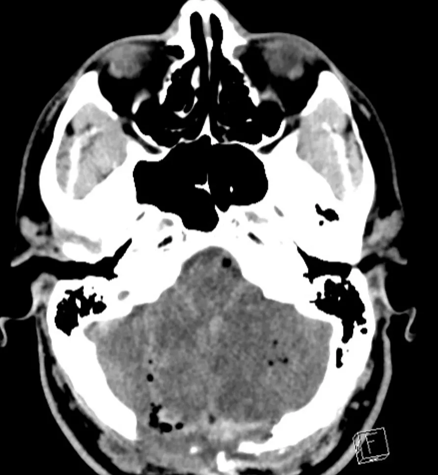
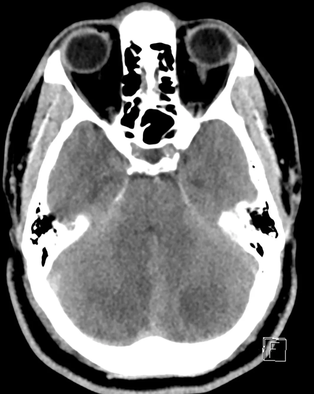
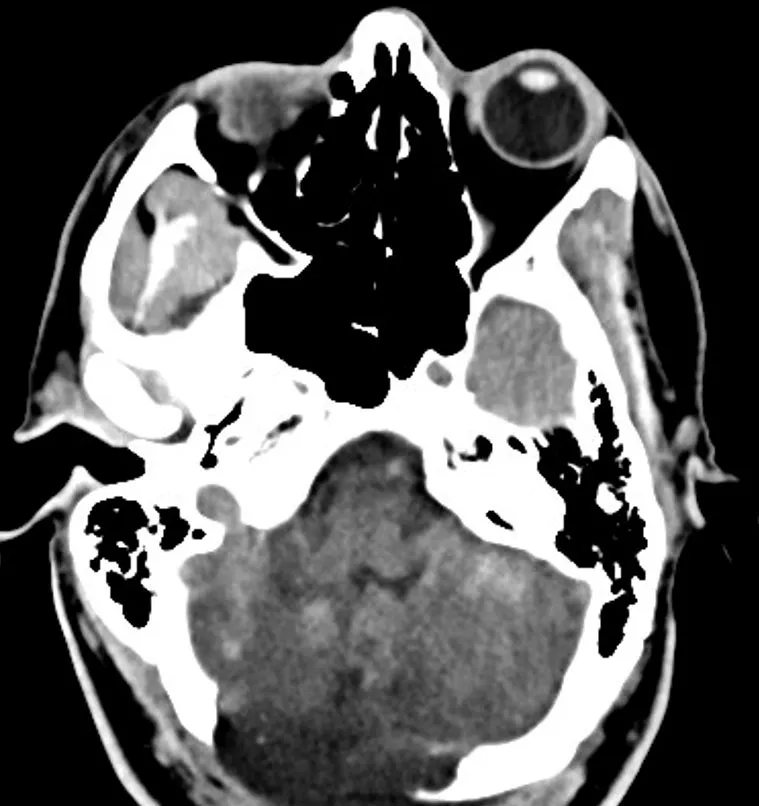
Approximately 12 hours after admission, the patient experienced a decline in his mental status, prompting a stat non-contrast computed tomography (CT) of the head which revealed bilateral cerebellar strokes. The associated cytotoxic edema resulted in significant mass effect on the 4th ventricle and early hydrocephalus.
The patient was then taken to surgery for an emergency sub-occipital decompressive craniotomy and placement of an extra ventricular drain to relieve the pressure.
Following the craniotomy, an emergent diagnostic angiogram was performed to evaluate for any residual thrombus of the basilar artery. The cerebral angiogram did not reveal a basilar thrombus but did confirm the aforementioned dissection. The patient was then placed on hypertonic therapy where he was monitored both clinically and with serial imaging. The patient was also monitored with continuous video electroencephalography (EEG) but no had no seizure activity.
Over the ensuing days, the patient's neurological exam improved, and after one week, he was able to be extubated. Follow-up imaging demonstrated improvement in the edema.
After a few more days of observation in the Neuro ICU, the patient was downgraded to the Progressive Care Stroke Unit and placed on long-term anticoagulation for further stroke prevention related to the dissection. He was subsequently discharged to inpatient rehab and eventually, home.
The expansion of a comprehensive stroke program at AdventHealth Celebration was planned over several years with intensive participation from the clinical team and administration. In less than one year, the program has been able to deliver a high level of quality care to a number of stroke patients. This case is an excellent demonstration of the importance of having multiple service lines working together to reach a positive outcome in what would have been a fatal stroke. It also demonstrates that with strategic planning and administrative support, the development of a robust comprehensive stroke program can be achieved in a short time and still provide high-quality care.
We are excited about the expansion of our neurological and neurosurgical services at AdventHealth Celebration and the impacts these services will continue to have on our community.
Recent News
Approximately 1 billion people throughout the world suffer from tinnitus (ringing in the ears), and it is the number one disability of those who serve in the U.S. military. The condition can disrupt...
Metabolic dysfunction associated steatotic liver disease (MASLD), formerly referred to as nonalcoholic fatty liver disease (NAFLD), affects about 70% of people with type 2 diabetes, placing them at...
AdventHealth East Orlando recently became the first hospital in Florida to earn Advanced Foot & Ankle Surgery Certification from DNV, a worldwide, independent certification body.
In a new article published in the medical journal Age and Ageing, AdventHealth Research Institute’s Dr. Audrey Collins shares the results of a recent study evaluating the impact of exercise on...
Accurately determining food intake remains a challenge in nutrition research. A new study published in Nature Metabolism and co-authored by Dr. Corbin introduces a metagenomics-powered approach to...
Discover what’s being accomplished in Central Florida to bridge the health gap with Orange County Mayor Jerry Demings and AdventHealth’s Dr. Alric Simmonds.
Breakthrough device offers new hope for stroke survivors struggling with rehabilitation following ischemic stroke
Jennifer Seminerio, MD, recently became one of the first in Florida to use intestinal ultrasound (IUS) to help assess and manage treatment of patients with inflammatory bowel disease (IBD). A non...
Physician leaders from AdventHealth’s emergency department, infectious disease, inpatient, pediatrics and pharmacy teams all collaborated to develop a respiratory virus testing algorithm to assist...
Thoracic surgeon Colleen Gaughan, MD, and her team at AdventHealth Celebration, recently became one of the first in the country to incorporate targeted imaging agent Cytalux (pafolacianine) as part of...
On the newest Inspiring Wholeness podcast, Obie Diaz, local morning radio show host, shares how a routine physical eventually led to two open heart surgeries.
AdventHealth recently began piloting a new Genomics Risk Assessment for Cancer and Early Detection (GRACE) program that combines the use of digital mammography, artificial intelligence (AI) technology...